手術を受けた後でもミラドライは受けられますか?
”手術を受けたのですが満足していなくて・・・・ミラドライは受けられますか?”
という質問をよく受けます。
結論から先に言いますと、全く問題なく受けられます。
多くの、そういう患者さんをミラドライで治療してきましたが、何ら問題なく、治療結果も満足いただけています。
このように、わきが・多汗症ではしばしば手術後の再発が問題となります。
私に相談に来る患者さんの中で、手術を受けたにもかかわらず臭いが残っているという悩みを抱えている方が少なからずいます。
これはどうしてでしょう?信頼のおける専門医によって確実な手術を受けたにもかかわらず、まだ臭いが気になる・・・
たしかに臭いに対して過剰に神経質になってしまい、手術が成功しても、なくなっているはずの臭いをまだ気にしてしまう人もいます。
でも本当の理由はそうではなくて、臭いが残っているのは、やはり医師による手術の不十分さ、未熟さにあるのです。
たとえば吸引法、超音波法などでは、時間が早く、傷が小さいので目立たない、などが利点だと言われています。
ただ、学会発表や医学論文などでは浅いところに存在しているアポクリン汗腺、エクリン汗腺はほとんど取れず、再発率が高いことが指摘されています。
特に真皮内に存在している汗の細胞を除去するのは難しいとされています。
これは剪除法などの手術でも同様です。

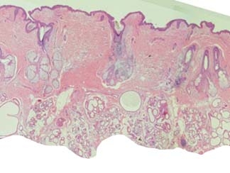
これは、ワキの皮膚の組織で,赤い線で囲まれた部分が汗の細胞です。この赤い線で囲まれた部分に大小とりどりのわっか 〇 があるのがわかりますか?
手術では皮膚の裏側(下側)から汗の細胞を削りとってきます。皮膚がだんだん薄くなってくるので、技術がなかったり、組織を見る目がないと、皮膚の浅い層にある汗の細胞が取り残されてしまいます。

例えばこんな風に残ってしまうのですが、術後は、まだ、皮膚への神経が再生されていなかったり、組織が傷ついているので、汗をかく能力がなくて臭いがしません。
2~3か月すると、いろんな細胞が再生されて治ってくるので、汗をかくようになり、臭いがしてくることになります。
では、この状態でミラドライをするとどうなるのでしょう?

ミラドライは皮膚の上側からマイクロ波が照射されるので、全く問題なく治療されます。
下側の、皮膚の深いところがどうなっていても、その状態に影響されません。
わかっていただけましたか?
手術後の患者さんでも、ミラドライの治療は問題ないですが、手術後の状態がどうであって、汗の機能がどうなっているのかを客観的に調べてから治療することをお勧めしています。
ご心配の方は、カウンセリングを受けに来てください。
きっと、悩みを解消できる方法が見つけられます。




