ミラドライの再発 再発について考えてみる
こんにちは
プレシャスクリニック院長の清水です。
ミラドライ治療にまつわるHPの記事から、気になることをピックアップして、私なりの考えを伝えよう!第5弾
今回は再発についての考察です。
今日治療に来られた方が、ネットで再発した人の記事が載っていますがどうしてでしょう?
と言ってらっしゃったので、ミラドライの再発ということが一番気になっているのだと思います。
ブログ記事でも書いたのですが(ここをクリック) 私はミラドライの治療効果について、照射された場所の皮膚が100%治療されていることを証明しています。
ですから再発などはないと思っているのですが、ネットで、”ミラドライの術後臭がした”などの記事があります。
これはどういうことなのか考えてみました。

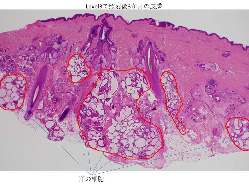
これは、レベル3で治療されたワキの3か月後の皮膚です。
ミラドライは照射レベルが1~5の5段階で設定されていて、中間の出力で治療された状態です。
施術後3か月で汗の細胞が再生されてきたのでしょう!
汗の細胞が多く認められます。
このように不完全な治療後だと、”また匂うようになった” と感じるでしょうね!
ですから、治療が不完全ということが考えられます。
これを、 ”失敗” という人もいると思います。
治療は不完全ですが、汗の細胞の数は手術前と比べて減ってるので、無効ではないです。
治療を評価するなら ”有効” です。
多分汗の量も減っていると思います。
でも、においを気にする人にとっては失敗なのでしょう!!




